兵庫県、三田市、矯正歯科、歯科、歯医者、小児歯科、ウィング矯正歯科

ウイング矯正歯科 WING Orthodontic Clinic 兵庫県三田市駅前町11-1
JR福知山線三田駅から徒歩3分
TEL 079-564-1914
症例紹介 ・正中離開 ・叢生 上顎前突
    ・反対咬合 ・開咬  
    ・小児の矯正(叢生) ・小児の矯正(反対咬合)  

症例の紹介

正中離開 
・前歯の歯と歯の間にすきまができている状態
治療前
正中離開治療前 正中離開治療前
治療後
正中離開治療後 正中離開治療後
ページ上に戻る
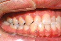
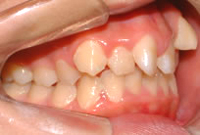
叢生 
・顎のスペースに対して歯が並ばず、歯が重なって生えている状態
治療前
叢生治療前 叢生治療前
治療後
叢生治療後 叢生治療後
ページ上に戻る
上顎前突 
・一般に「出っ歯」、「反っ歯」といわれる歯並びの状態
治療前
上顎前突治療前 上顎前突治療前
治療後
上顎前突治療後 上顎前突治療後
ページ上に戻る
反対咬合 
・一般に「受け口」と言われ、噛み合わせが逆になっている状態
治療前
反対咬合治療前 反対咬合治療前
治療後
反対咬合治療後 反対咬合治療後
ページ上に戻る
開咬 
・奥歯が噛み合っているのに前歯が噛み合わない状態
治療後
開咬治療前 開咬治療前
治療後
開咬治療後 開咬治療後
ページ上に戻る
小児の矯正(叢生) 
治療前
小児の矯正(叢生)治療前 小児の矯正(叢生)治療前
治療経過中
小児の矯正(叢生)治療経過中 小児の矯正(叢生)治療経過中
ページ上に戻る
小児の矯正(反対咬合) 
治療前
小児の矯正(反対咬合)治療前 小児の矯正(反対咬合)治療前
治療経過中
小児の矯正(反対咬合)治療経過中 小児の矯正(反対咬合)治療経過中
ページ上に戻る